| Adventures Of Caleb |
About Me |
Parents Checklist |
My Growth Chart |
Family Tree |
Designer |
Week 19
Monday, August 25, 2008
Week 19 Current Food Craves: Non Weight: Approximately 101lbs Complains: Non
Non complains! Amazing! I guess the trips to the Chiropractor, the masseur and my Yoga sessions have all helped tremendously in my backache! The rashes are more or less gone, just a teeny bit itchy at times, guess it might be because of the dry skin...
During the weekend, we went shopping at Baby R Us for some breast pump accessories and while we were there, daddy beanie decide to buy a fetal heart monitor where we can listen to baby beanie's heart at home! And so when we went back home, we tried out the little machine but it doesn't work! And when we read the instructions we realise that it works only during the third trimester... Hehe guess we have to keep the little machine and save it for another 2 months... But but but...a big landmark on the first night of Week 19 happened, we felt Baby beanie kicks!!! It was amazing... :) On Sunday night or should I say monday morning, while daddy beanie and I were in bed getting ready to sleep, I suddenly felt a little ticklish knock on my lower right tummy. It felt totally wierd unlike the normal rumblings of a hungry tummy! And so I roused daddy beanie and whispered... "Darling, I think he is kicking!" And immediately, daddy beanie placed his hand on mummy's tummy... With a few seconds, we both felt it again! And it went on for a few kicks! It was so exciting! His little kicks were really really gentle! And now for the rest of the week... he has been kicking constantly, very very interesting!
Mummy beanie thinks that she'll not be able to get used to the little alert baby beanie if giving her all the time, it feels so weird... nothing like she ever feels before... Having a life in you is definitely amazing... :)
On Thurday... We went for a detailed scan. Mummy beanie told the sonographer that during week 12, when we were there, she told us that baby beanie is a boy and so... she check it once again. And she said, "Well... its still there, he is still a boy!" Haha... and we laughed. The scan went on really well. Baby beanie's very healthy and he is growing really well! Here's mummy beanie at the sonographer's diagnostic room and some pictures of baby beanie at 19 weeks! Enjoy!
Waiting for the sonographer to be ready... Wearing the maternity pants, my sis-in-laws bought!
After the scan... A long piece of souvenier! Pardon my messy look, it was real early in the morning!!!
Here's little beanie... Isn't he cute and round?
We think he has daddy's nose! Cause its all sharp and pointy... Mummy's really flat! Hehe...
His tiny skeletal hands!
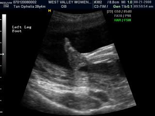
His left leg! So cute...
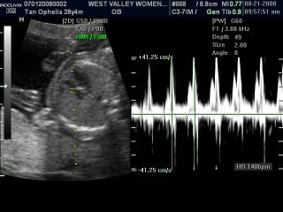
His heartbeat at 140bpm! Whoosh whoosh!
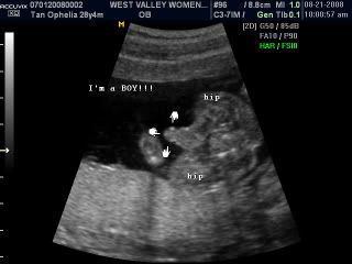
His pee pee!
His information! Only weighs a mere 312g... So cute! The sonographer says he is about... 8 inches! Awwww...
Week 19 Current Food Craves: Non Weight: Approximately 101lbs Complains: Non
Non complains! Amazing! I guess the trips to the Chiropractor, the masseur and my Yoga sessions have all helped tremendously in my backache! The rashes are more or less gone, just a teeny bit itchy at times, guess it might be because of the dry skin...
During the weekend, we went shopping at Baby R Us for some breast pump accessories and while we were there, daddy beanie decide to buy a fetal heart monitor where we can listen to baby beanie's heart at home! And so when we went back home, we tried out the little machine but it doesn't work! And when we read the instructions we realise that it works only during the third trimester... Hehe guess we have to keep the little machine and save it for another 2 months... But but but...a big landmark on the first night of Week 19 happened, we felt Baby beanie kicks!!! It was amazing... :) On Sunday night or should I say monday morning, while daddy beanie and I were in bed getting ready to sleep, I suddenly felt a little ticklish knock on my lower right tummy. It felt totally wierd unlike the normal rumblings of a hungry tummy! And so I roused daddy beanie and whispered... "Darling, I think he is kicking!" And immediately, daddy beanie placed his hand on mummy's tummy... With a few seconds, we both felt it again! And it went on for a few kicks! It was so exciting! His little kicks were really really gentle! And now for the rest of the week... he has been kicking constantly, very very interesting!
Mummy beanie thinks that she'll not be able to get used to the little alert baby beanie if giving her all the time, it feels so weird... nothing like she ever feels before... Having a life in you is definitely amazing... :)
On Thurday... We went for a detailed scan. Mummy beanie told the sonographer that during week 12, when we were there, she told us that baby beanie is a boy and so... she check it once again. And she said, "Well... its still there, he is still a boy!" Haha... and we laughed. The scan went on really well. Baby beanie's very healthy and he is growing really well! Here's mummy beanie at the sonographer's diagnostic room and some pictures of baby beanie at 19 weeks! Enjoy!
Waiting for the sonographer to be ready... Wearing the maternity pants, my sis-in-laws bought!
After the scan... A long piece of souvenier! Pardon my messy look, it was real early in the morning!!!
Here's little beanie... Isn't he cute and round?
We think he has daddy's nose! Cause its all sharp and pointy... Mummy's really flat! Hehe...
His tiny skeletal hands!
His left leg! So cute...
His heartbeat at 140bpm! Whoosh whoosh!
His pee pee!
His information! Only weighs a mere 312g... So cute! The sonographer says he is about... 8 inches! Awwww...
About Me
My Estimated Date Of Arrival: 12th Jan 2009
My Delivery Doc: Dr James Johnson
Click here for my parents blogsite: My Parents Blog
About My Name Pronounced as: "K-lerb, Loo-kas"
Caleb- A faithful dog/companion, is also bold. In the Bible Caleb and Joshua were the only 2 spies that had the bold faith to believe that God will give them the land filled with giants. With the odds stacked against them, Joshua and Caleb remained faithful to God's word. I pray our Caleb owns up to the meaning of his name, that he is faithful to God and bold in living his life for God.
Though many might have think that, "huh meaning of a dog???" but when you reverse spell the word "dog" what does it turn out to be?- "God" And you know how much our family loves dogs so when we chance upon the meaning we were like, OMG that's so meant to be. The qualities, loyal companion, big hearted... It's definitely a name great for a little boy and for a man to be! Though Jason and I do not attend church regularly, it's definitely gonna be a good name if he decides to become religious.
Lucas- Light or bearer of the light. Lucas is definitely going to bring light into our lives...
Here's a list of things that Daddy and Mummy are preparing for my arrival and some of them were passed down by their friends & relatives. Others, were gifts! Thank you very much all aunties and uncles, Jies Jies and Kors Kors!
*List gotten from Babies R Us-Mummy almost fainted when she saw the list, didn't know there are so many stuff to buy for a baby! (List has been reduced to what we think we need)
Infant Care Safety
Baby Monitor-Checked (Thank you Auntie Jess, Ariel & Josh!)
Nursing and Feeding
Breastpump-Checked (Thank you Aunt Evelyn!)
Breast Pads-Checked/Medela X 1 box of 60 to try
Breast Cream-_______
Baby Milk Storage (Containers/Bags)-Checked (Thank you Auntie Edleen!)
Breastfeeding Shawl-Checked/www.lovedbaby.com
Nursing Pillow-Boppy Pillow Checked (Thank you Auntie Kim & Auntie Sarah!)
Burping Cloths-Checked (Thank you Auntie Sarah!)
Cloth Diapers-Checked
Bottles for formula-Checked/Medela X 4 to try
Bottle Warmer-_______
Bottle Sterilizer-Checked (Thank you Auntie Edleen, Thank you Auntie Sukye for giving us one too to bring back to SG!)
Bottle Drying Rack-_______
Bottle Brush-_______
Bibs-_______
Pacifiers-Checked/Free from Doc's office
Baby Mittens-Checked (Thank you Aunt Sylvia!)
Rattles-_______
Teethers-What are these?_______
Books for Parents to be-Checked(Thank you Auntie Jess & Auntie Sherry!)
Baby Care
Nail Clippers-_______
Brush and Comb-_______
Digital Thermometer-_______
Ear Thermometer-_______
First Aid Kit-_______
Humidifier-Checked/Vicks
Bath
Baby Bathtub-Checked(Thank you Auntie Alfi and Thank you Auntie Brittany for the rainforest one which we are bringing back to SG!)
Baby Bath Sponge-_______
Hooded Bath Towels X 4-Checked from Cartel Super Cute
Washcloths X 12-_______
Bath Toys-_______
Diapers/Fromulas
Diapers-_______/Pamper Swaddlers(Auntie Edleen swears its the best!)
Formula-Checked/Similac New Advance Infant Formula from the clinic
Baby Wipes-_______
Travel Wipe Case-Checked
Wipes Warmer-Do we need this? Caleb will be born in winter...
Diaper Bag, Small-Checked/www.diapeesandwipees.com
Diaper Bag, Big-Checked/LV
Travel Baby Diaper Changing Pad-Checked/Kate Spade
Baby Gear Car Seats
Infant Car Seat-Checked from Graco/B4 reaching 1 year old
Toddler Car Seat-_______/Toddler
Booster Car Seat-_______/4 to 10 year Olds
Strap Covers-_______
Head Support-_______
Body Support-_______
Baby Sunshade-_______
Car Seat Toys-Checked (Thank you Auntie Shirley!)
Strollers
Full Size Strollers-Checked/Bugaboo Bee/Orbit
Stroller Toys-_______
Entertainers/Swings
Walkers/Jumpers-_______
Bouncer/Rocker-_______
Sarong/Baby Carrier-Checked/From Kate Spade
Stationery Entertainers-Do we need this if we get a walker or Jumper?
High Chair
High Chair-_______
High Chair Cover-_______
Shopping Cart Stroller Cover-_______
Apparel
Homecoming Outfit-Checked(Thank you Auntie Lisa and Uncle Thomas!)
Bodysuits-Checked
Caps & Booties-Checked
Gowns-Checked
Socks-Checked(Thank you Auntie Dawn, Auntie Edleen and Uncle Ivan!)
Clothing Hangers-Checked