| Adventures Of Caleb |
About Me |
Parents Checklist |
My Growth Chart |
Family Tree |
Designer |
Tuesday, July 1, 2008
Last week I went for a little Yoga class with Dawn provided for free at the base and it was really a gentle yoga class! Some light stretches on the mat. After that also joined her at the Base Gym for a 25min walk on the threadmill! Totally felt refreshed after that!
I think I should go out more to exercise but each time I get out into the hot summer heat, I puke... I somehow saw the pattern this week, Saturday while I was out in the cinemas and when we walked frosty and even this morning when we send the car for servicing... So I shall avoid the heat as much as I can!
Anyway this morning, we went to the Gynae's office real early cause we had a scan lined up for us. It was about half an hour and was meant to measure baby's spine to see if baby has any risk for down syndrome and thank the lord that baby's all normal, all we could hear from the sonographer was normal normal normal and I guess that's what all parents would love to hear! We were able to see the little fingers and toes... And the songrapher's really good! She managed to capture a lot of other stuff like baby stomach, bladder, unbilical cord etc and pointed to us loads of stuff! It took me a little while to see everything she pointed out though.
When she was scanning baby legs she asked, would you like to know the gender of the baby, I look and hubby and was like! Yes of course!!! We were really surprised! Cause many mummies can only see their baby's gender at about 4 and a half months! We were like really you can see that already?! And she nods her head...
And the she pointed to us the little pokey thing! Our darling baby is a BOY!!! OMG... Tears started streaming down my face, I didn't know why. I guess its all the excitement and the confirmation of the little life inside me? Life is such a miracle! I mean I told Jason during the first few weeks that I think we are having a boy and OMG its really a boy!!! Jason teared too but wasn't as dramatic as me where I required tissue to wipe all those teardrops off!!!
Anyway our darling boy, i think we shall re nick name you as our little beanie instead, thumbelina is just too girly for you! Here are pictures from the scan! And my little paunch at 12 weeks. Suyi says that I must show them pictures of my paunch!!! Haha... And so here it is!
Our little beanie's face, can you spot his little nose? I hope it looks like daddy's more pointy hehe, mine's bigger than daddys!!!
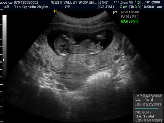
Here's beanie boy, he's a mere 6.51cm at 12 weeks 1 day!
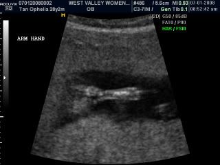
Beanie's little arm...
Beanie's heartbeat at 158bpm, his heartbeat is so fast... daddy and me just smile...
Last week I went for a little Yoga class with Dawn provided for free at the base and it was really a gentle yoga class! Some light stretches on the mat. After that also joined her at the Base Gym for a 25min walk on the threadmill! Totally felt refreshed after that!
I think I should go out more to exercise but each time I get out into the hot summer heat, I puke... I somehow saw the pattern this week, Saturday while I was out in the cinemas and when we walked frosty and even this morning when we send the car for servicing... So I shall avoid the heat as much as I can!
Anyway this morning, we went to the Gynae's office real early cause we had a scan lined up for us. It was about half an hour and was meant to measure baby's spine to see if baby has any risk for down syndrome and thank the lord that baby's all normal, all we could hear from the sonographer was normal normal normal and I guess that's what all parents would love to hear! We were able to see the little fingers and toes... And the songrapher's really good! She managed to capture a lot of other stuff like baby stomach, bladder, unbilical cord etc and pointed to us loads of stuff! It took me a little while to see everything she pointed out though.
When she was scanning baby legs she asked, would you like to know the gender of the baby, I look and hubby and was like! Yes of course!!! We were really surprised! Cause many mummies can only see their baby's gender at about 4 and a half months! We were like really you can see that already?! And she nods her head...
And the she pointed to us the little pokey thing! Our darling baby is a BOY!!! OMG... Tears started streaming down my face, I didn't know why. I guess its all the excitement and the confirmation of the little life inside me? Life is such a miracle! I mean I told Jason during the first few weeks that I think we are having a boy and OMG its really a boy!!! Jason teared too but wasn't as dramatic as me where I required tissue to wipe all those teardrops off!!!
Anyway our darling boy, i think we shall re nick name you as our little beanie instead, thumbelina is just too girly for you! Here are pictures from the scan! And my little paunch at 12 weeks. Suyi says that I must show them pictures of my paunch!!! Haha... And so here it is!
Our little beanie's face, can you spot his little nose? I hope it looks like daddy's more pointy hehe, mine's bigger than daddys!!!
Here's beanie boy, he's a mere 6.51cm at 12 weeks 1 day!
Beanie's little arm...
Beanie's heartbeat at 158bpm, his heartbeat is so fast... daddy and me just smile...
About Me
My Estimated Date Of Arrival: 12th Jan 2009
My Delivery Doc: Dr James Johnson
Click here for my parents blogsite: My Parents Blog
About My Name Pronounced as: "K-lerb, Loo-kas"
Caleb- A faithful dog/companion, is also bold. In the Bible Caleb and Joshua were the only 2 spies that had the bold faith to believe that God will give them the land filled with giants. With the odds stacked against them, Joshua and Caleb remained faithful to God's word. I pray our Caleb owns up to the meaning of his name, that he is faithful to God and bold in living his life for God.
Though many might have think that, "huh meaning of a dog???" but when you reverse spell the word "dog" what does it turn out to be?- "God" And you know how much our family loves dogs so when we chance upon the meaning we were like, OMG that's so meant to be. The qualities, loyal companion, big hearted... It's definitely a name great for a little boy and for a man to be! Though Jason and I do not attend church regularly, it's definitely gonna be a good name if he decides to become religious.
Lucas- Light or bearer of the light. Lucas is definitely going to bring light into our lives...
Here's a list of things that Daddy and Mummy are preparing for my arrival and some of them were passed down by their friends & relatives. Others, were gifts! Thank you very much all aunties and uncles, Jies Jies and Kors Kors!
*List gotten from Babies R Us-Mummy almost fainted when she saw the list, didn't know there are so many stuff to buy for a baby! (List has been reduced to what we think we need)
Infant Care Safety
Baby Monitor-Checked (Thank you Auntie Jess, Ariel & Josh!)
Nursing and Feeding
Breastpump-Checked (Thank you Aunt Evelyn!)
Breast Pads-Checked/Medela X 1 box of 60 to try
Breast Cream-_______
Baby Milk Storage (Containers/Bags)-Checked (Thank you Auntie Edleen!)
Breastfeeding Shawl-Checked/www.lovedbaby.com
Nursing Pillow-Boppy Pillow Checked (Thank you Auntie Kim & Auntie Sarah!)
Burping Cloths-Checked (Thank you Auntie Sarah!)
Cloth Diapers-Checked
Bottles for formula-Checked/Medela X 4 to try
Bottle Warmer-_______
Bottle Sterilizer-Checked (Thank you Auntie Edleen, Thank you Auntie Sukye for giving us one too to bring back to SG!)
Bottle Drying Rack-_______
Bottle Brush-_______
Bibs-_______
Pacifiers-Checked/Free from Doc's office
Baby Mittens-Checked (Thank you Aunt Sylvia!)
Rattles-_______
Teethers-What are these?_______
Books for Parents to be-Checked(Thank you Auntie Jess & Auntie Sherry!)
Baby Care
Nail Clippers-_______
Brush and Comb-_______
Digital Thermometer-_______
Ear Thermometer-_______
First Aid Kit-_______
Humidifier-Checked/Vicks
Bath
Baby Bathtub-Checked(Thank you Auntie Alfi and Thank you Auntie Brittany for the rainforest one which we are bringing back to SG!)
Baby Bath Sponge-_______
Hooded Bath Towels X 4-Checked from Cartel Super Cute
Washcloths X 12-_______
Bath Toys-_______
Diapers/Fromulas
Diapers-_______/Pamper Swaddlers(Auntie Edleen swears its the best!)
Formula-Checked/Similac New Advance Infant Formula from the clinic
Baby Wipes-_______
Travel Wipe Case-Checked
Wipes Warmer-Do we need this? Caleb will be born in winter...
Diaper Bag, Small-Checked/www.diapeesandwipees.com
Diaper Bag, Big-Checked/LV
Travel Baby Diaper Changing Pad-Checked/Kate Spade
Baby Gear Car Seats
Infant Car Seat-Checked from Graco/B4 reaching 1 year old
Toddler Car Seat-_______/Toddler
Booster Car Seat-_______/4 to 10 year Olds
Strap Covers-_______
Head Support-_______
Body Support-_______
Baby Sunshade-_______
Car Seat Toys-Checked (Thank you Auntie Shirley!)
Strollers
Full Size Strollers-Checked/Bugaboo Bee/Orbit
Stroller Toys-_______
Entertainers/Swings
Walkers/Jumpers-_______
Bouncer/Rocker-_______
Sarong/Baby Carrier-Checked/From Kate Spade
Stationery Entertainers-Do we need this if we get a walker or Jumper?
High Chair
High Chair-_______
High Chair Cover-_______
Shopping Cart Stroller Cover-_______
Apparel
Homecoming Outfit-Checked(Thank you Auntie Lisa and Uncle Thomas!)
Bodysuits-Checked
Caps & Booties-Checked
Gowns-Checked
Socks-Checked(Thank you Auntie Dawn, Auntie Edleen and Uncle Ivan!)
Clothing Hangers-Checked